Transurethral Deroofing of Prostate Abscess
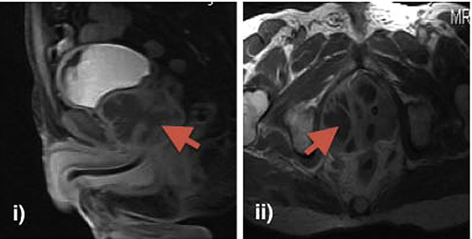
A prostatic abscess is an uncommon urological emergency, but it is a serious infection of the prostate with a high mortality rate unless properly treated. Patients with diabetes mellitus, renal insufficiency, and immune suppression are particularly at risk. Urethral catheterisation, lower urinary tract instrumentation, and a prostate biopsy are among the possible predisposing factors. Once liquefaction and abscess formation are diagnosed, several approaches have been described for drainage. Open perineal drainage, transurethral deroofing, transrectal needle aspiration, or tube drainage, and percutaneous drainage are the main therapeutic options. #abscess #turp #prostate